
千里中央駅徒歩5分のにしお歯科
お問い合わせTEL 06-6873-8020
にしお歯科ホームページは、厚生労働省より通達され2018年6月1日より施行された医療広告ガイドラインに従い、症例写真は撮影したデータそのままを使用しています。治療の内容、費用、治療等の主なリスク、副作用についての詳細説明を付加しています。
また、医療広告ガイドラインに従い患者様の体験談を削除いたしました。
歯並びが悪ければ、咬み合わせも悪いので、全身の健康に大きな影響を与えます。それは肉体的なものばかりでなく、精神的にも大きな負担となります。一昔前の日本では、八重歯をチャームポイントとする人がいましたが、最近では、歯並びが悪いという見方に変わっています。
歯並びを整えることでむし歯や歯槽膿漏を予防し、さらに咬み合わせを整えることで正常な顎の発育を助け、ひいては全身の健康状態を良くします。矯正歯科は見た目と健康の両方を良い状態へ持っていくために行うものなのです。
4歳以上になっても指しゃぶりを続けていると、指に邪魔されて前歯と前歯が噛めなくなってしまいます。
そのために、口元がポカンと開いただらしない状態になってしまいます。
上の前歯と下の前歯に大きな隙間ができてしまうので、つばをうまく飲み込めず、舌を絶えず前歯に押し付けるようになってしまいます。 そのままにしておくと、どんどん歯並びが悪くなり呼吸器系にも影響がでてくることがあります。 上顎の天井が深い子供は、その分鼻のまわりの空洞が狭くなるために鼻詰まりが多くみられます。開口の子供には鼻炎・ぜんそく・アトピーなどがよくみられます。
治療費:¥3,000(税別)
治療期間(経過観察期間):6ヶ月
副作用・リスク:再度指しゃぶりをするようになると後戻りして開咬になる可能性がある

●4歳11か月
ず~と指しゃぶりをしている幼児
お母さんがどんなに注意をしてもやめません。手袋をして寝ても、寝ながら手袋をはずして指しゃぶりをします。指にわさびやからしをぬったら、夜中が大変。指に糸を巻きつけても駄目です。口が開いているので喉が弱く、よく風邪をひいたり、鼻炎になったりでお母さん(お父さんも)がたいへんでした。

●5歳5か月
指しゃぶり防止グローブをはめて約1週間で指しゃぷりをやめました。その後約6か月で、歯並びが正常になりました。 鼻炎もなくなりお医者さん通いが少なくなりました。何より顔つきがよくなりました。夜もぐっすり眠れるようになりました。これで治れば高額な矯正治療は必要ありません。
「反対咬合(受け口)と診断されたら・・・!!」
下顎の歯が上顎の歯よりも前に出ている状態を反対咬合(一般的には受け口)といいます。3歳児健診で全体の4~5%の子供に反対咬合が見られます。近所の歯科医院に行っても、「このまま永久歯が生えるころまで様子を見ましょう。」と言われて放置されるケースが多いようです。しかし、このような反対咬合は自然に治る可能性はかなり低く、積極的な治療が必要と考えられます。咬み合わせが悪いため、前歯でしっかりと物を噛み切ることができません。前歯を使う回数が減ると上顎の骨の成長を期待できません。鼻の下側がくぼんで横顔が三日月のようになり、顔貌が貧相になってしまします。さて、どうやって治療をすればいいのでしょうか?
これまでは、頭にベルトを巻き、下顎を押さえつける“チンキャップ法”が試みられていましたが、子供への物理的・精神的負担が大きくいい結果が得られないことが多かったようです。
そこで最近注目されているのが、無色透明のマウスピースタイプの“ムーシールド”による治療法です。装着は寝ている間だけで、痛みもほとんどありません。6ヶ月~1年で効果が表れ、約9割で改善がみられます。対象年齢は3~6歳くらいです。ハードタイプのムーシールドが装着できない場合には、ソフトタイプのパナシールド・パナシールドプラス・i-3(アイスリー)を使用します。
反対咬合により上顎の発育不全が起こります。その結果、顔貌が萎縮してしまいます。体が大きくなっても上顎が発育せず、顔貌が大きく変わってしまいます。歯並びが悪いと気づいたときが治療開始のタイミングです。子供の歯並びは一生の顔の形にかかわる大切な問題です。できるだけ早く治療を開始しましょう!
1.ムーシールド

■早期初期治療
■被蓋の改善
■舌圧と口唇圧のバランス
■舌を高位に保つ機能
■就寝時のみ、約1年間使用、月1回調整
■永久歯萌出前まで(3~6歳)
■パナシールド、アイスリーより耐久性がある
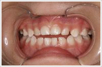
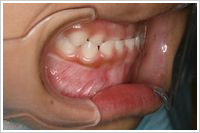
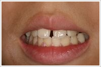
●症例(4歳5ヶ月 男の子 主訴:受け口)
治療期間:6ヶ月 治療費用:¥112,000(税別)
副作用・リスク:下顎前歯部が舌側に傾斜して叢生になることがある
取り外し式の矯正装置であるムーシールドを使用しました。昼間1時間と就寝時に装着します。最初の1~2週間はよだれがだらだらと出てきたり、うまく装着できず口から飛び出すことがありましたが、その後は慣れてきて朝まで口の中に入っているとのことでした。月に1回装置の調整を行いました。6ヶ月後には受け口が改善され正常な咬み合わせになりました。

●4歳5ヶ月(治療前の受け口)

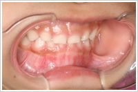
●4歳11ヶ月(治療開始から6ヵ月後)
ムーシールドで改善された正常な歯並び
さらに約6ヶ月間ムーシールドを使用して経過観察します
2.パナシールド、パナシールドプラス
他の矯正装置(床矯正装置、リンガルアーチなど)との併用が可能です。
●症例(3歳10ヶ月 女の子 主訴:受け口)
治療期間:8ヶ月 治療費用:¥116,000(税別)
副作用・リスク:歯ぐきが痛くなることがある
軟性材料で作られたパナシールドを使用しました。口の大きさにあわせて後縁部分を2mm短くしました。昼間1時間と就寝時に装着します。最初の1~2週間はよだれがだらだらと出てきたり、うまく装着できず口から飛び出すことがありますが次第に慣れてきます。月に1回装置の調整を行いました。8ヶ月後には受け口が改善され正常な咬み合わせになりました。
3.i-3(アイスリー)

●症例(4歳4ヶ月 男の子 主訴:受け口)
治療期間:11ヶ月 治療費用:¥122,000(税別)
副作用・リスク:歯ぐきが痛くなることがある
パナシールドよりも軟らかい素材で作られたi-3を使用しました。昼間1時間と就寝時に装着します。8ヶ月が経過したときに装置に亀裂が生じてちぎれそうだったので新しい装置に交換しました。月に1回装置の調整を行いました。11ヶ月後には受け口が改善され正常な咬み合わせになりました。その後6ヶ月間経過観察をして問題なく歯列が整ったので終了となりました。
4.床矯正装置
ムーシールドなどで改善しなかった場合
ムーシールドなどで一度改善したが、永久歯がはえて受け口になった場合
●症例(8歳2ヶ月 女の子 主訴:受け口)
治療期間:4ヶ月 治療費用:¥366,000(税別)
副作用・リスク:拡大ネジを回した時に歯ぐきが痛くなることがある
乳歯のときから受け口で、前歯が永久歯に生え替わっても受け口が改善しなかったため矯正相談に来られました。このままにしておくと上顎骨の成長が抑制され顔立ちに悪影響が現れます。第一期治療として床矯正装置を用いて上顎の前歯の前方成長を促しました。主に家の中で使用します。学校にはつけていきません。1日10~12時間程度装着します。4ヶ月後には咬み合わせ状態が改善され受け口が治りました。
| 受け口治療に関するQ&A |
| Q.反対咬合って、自然に治るのでしょうか? |
|
永久歯が生える時、自然に治ることがあります。ただし、かなり少数例(5%未満)です。 ①咬み合わせが反対になっている下の前歯が、5~6本ある。②逆の咬み合わせが深い。③近親に反対咬合の人がいる。 このような症例の場合、自然に治る可能性は、極めて少ないと考えて良いでしょう。 |
| Q.永久歯がはえるまで、様子見を勧められましたけど? |
| 自然に治る場合もありますが、それはかなり少数です。受け口は3歳から治療可能になりました。 |
| Q.反対咬合、治した方が良いの? |
| しゃべり方にも、食べ方にも問題が現れます。審美面では、上顎骨の劣成長により反対咬合特有の三日月型の顔貌になってしまい、劣等感を感じることがあります。機能面と審美面を改善して、心の負担を軽くし、生活の質の向上を図ります。 |
| Q.早く治した方が良いの? |
| 年齢が高くなる(12歳以上)と治療法の選択肢が狭くなります。装置の構造が複雑になったり、装置の数が増えたり、フェイスマスクやチンキャップという顔を覆うような装置が必要になることがあります。例えば、「過成長して 大きくなってしまった下顎骨を切断して縮める」という全身麻酔下の手術法も選択肢にあがってきます。 |
| Q.どうやって治すの? |
| 筋機能のアンバランスが、不正咬合をつくります。反対咬合の原因の一つは、舌が低い位置で機能していることです。ですから、治療目標が、まず、舌を挙上してあげることです。そのように、バランスを取り戻す器具が、機能的顎矯正装置“ムーシールド”です。基本的には就寝中に使用します。取り外しできる器具ですから、上手く使えなかったり、諸条件によっては、期待する効果が得られないこともあります。 |
| Q.一度治したら、もう大丈夫? |
| 一度治したら、「もう大丈夫」という人が大半です。しかし、成長がスパートする頃に再治療を必要とする場合があります。定期健診は重要です。女子は15~16才。男子は17~18才まで定期健診を続けることが理想です。 |
| Q.反対咬合は遺伝する? |
| 反対咬合は、遺伝します。顔形はご両親に似ます。残念ながら、反対咬合の家系があります。しかし、早めに対処することで、かなり改善することができると考えています。いずれにせよ、遺伝のあるなしに関わらず、早めに受診することをお勧めします。 |
床矯正治療
床矯正治療では、基本的には永久歯は抜かずに、顎を少し拡げて歯をきれいに並べます。治療には、下の写真のような入れ歯にネジのついた装置を使います。取り外し式なので日常生活は今までとあまり変わりません。痛みはほとんどありません。基本的には学校には装置をつけていかないので、街中でこの床矯正装置を見ることはほとんどないのです。
ヨーロッパでは、ワイヤー矯正よりも床矯正の方が症例数が圧倒的に多くなっています。
日本でも、数年前から床矯正治療がテレビや雑誌で大きく報道され、歯を抜かずに治す床矯正を希望する患者さんが年々増加しています。
▼床矯正装置
床矯正治療に用いられる装置は、入れ歯と構造がよく似ていて、自由に取り外しができます。赤い部分はプラスチックでできていて床(しょう)と呼ばれます。弱い力の作用で歯を動かしたり、顎を拡げたりするので、痛みはほとんどありません。顎を拡げるといっても顔が大きくなるわけではありません。1日に12時間以上装着(中学生以上の場合は、20時間以上)していれば大丈夫です。 頬づえや猫背、開口などの悪い癖は治しておきましょう。
▼下顎の床矯正症例(6歳9ヶ月 男の子 主訴:下の前歯がガタガタ)
治療期間:1年2ヶ月 治療費用:¥384,000(税別)
副作用・リスク:拡大ネジを回した時に歯ぐきが痛くなることがある
下あごの前歯4本が生えてきましたが、スペース不足のためガタガタになっています。下あごに床矯正装置を装着して歯列弓を拡大していきました。8ヶ月後にはかなり歯列が良くなり、2個目の床矯正装置に交換しました。1年2ヶ月後には歯列が整ったので矯正治療を終了しました。時々装置がきっちりと装着できなくなったのですが、拡大スクリューを自分で調整することで問題なく治療を進めることができました。家でだけ装置を装着するので日頃の学校生活には全く影響がありませんでした。
▼上顎を床矯正装置で拡大し、その後部分的にブラケットで治療した症例
(10歳 男の子 主訴:八重歯)
治療期間:1年2ヶ月 治療費用:¥434,000(税別)
副作用・リスク:ブラケット周辺に食べ物が詰まることがある
スペース不足のため犬歯が八重歯の状態になっています。下顎の歯並びには大きな問題はありません。スペース不足解消のため上顎に床拡大装置を使うことにしました。型取りする時に嘔吐反射があり苦労しました。8ヶ月間で上顎を拡大し、その後上顎のみブラケット&ワイヤー矯正を開始しました。6ヶ月後には歯並びがキレイになったのでブラケットを除去して、リテーナーを使ってもらうようにしました。リテーナーを使うことで歯並びが安定します。ワイヤー矯正をしている6ヶ月間は歯ブラシで少し苦労したそうですが、むし歯にはなりませんでした。歯並びがキレイになると歯ブラシがしやすくなります。
|
床矯正に関するよくある質問
Q.何歳ころから治療ができますか?
Q.床矯正装置は学校でも装着するのですか?
Q.顎を拡大すると顔がゴリラのようになりませんか?
Q.本人が装着を嫌がった場合はどうなるのですか?
Q.学校でいじめられることはないですか?
Q.ネジはいつまわすのですか?
Q.乳歯が抜けると装置を作り直すのですか?
Q.装置を落として壊れた場合はどうなりますか?
Q.大人でも床矯正装置で歯並びを治すことができますか?
Q.痛みはないのですか?
Q.期間はどれくらいかかるのですか?
Q.床矯正で治らない場合はどうなるのですか?
Q.八重歯がひどくてガタガタでも床矯正で治りますか?
Q.東京で床矯正を1年間していたのですが、大阪への引越しのため装置をはめたまま中断しています。引き続き治療をしてもらえますか?
Q.床矯正だけで治りますか? |
3D装置は、正式には3Dモジュール矯正システムといいます。この装置は、歯の裏側に使用するので、外からはほとんど見えず、他人に矯正治療をしていると気づかれることなく歯並びがきれいになっていきます。細くてやわらかいワイヤーで作られているため弱い力で歯を動かすことができ痛みをほとんど伴いません。取り外し式の装置ですが、患者さん本人には取り外すことはできません。ワイヤーを調整するときには、ドクターが簡単に取り外すことができます。
歯の裏側に使用し、かつワイヤーの長さを自由に変えることができるので、顎の成長・発育を阻害することがありません。基本的には乳歯が残っている段階で使用し、顎の成長・発育状況をみながらワイヤーの調整をしていき、できるだけ永久歯を抜歯しないように治療を進めていきます。

3Dクワッド・へリックス

上下顎に3D装置を付けた状態
外側からはほとんど見えません
●3Dセクショナルアーチ を用いた症例(部分矯正)
(12歳 男の子 主訴:永久歯がなかなか生えてこない)
治療期間:5ヶ月 治療費用:¥375,000(税別)
副作用・リスク:装置が外れることがある
12歳の男の子の症例です。右下第二大臼歯(12歳臼歯)が45°前方に倒れていてうまく萌出することができません。そこで右下の第一大臼歯(6歳臼歯)に3Dセクショナルアーチを装着して、第二大臼歯の傾斜を改善していきました。約5ヶ月で第二大臼歯が真っすぐに萌出してきました。咬合面が全て見えたところで装置を除去して経過観察に移りました。
※3D矯正装置を用いた咬合誘導について詳しく知りたい方は 日本一般臨床医矯正研究会(J.O.S.G)のホームページ http://www.josg.jp/for-child/ideal.htmlをご覧ください。
| 相談料 | ¥0+保険診療 (初診料+その他) |
| 精密検査料 | ¥30,000 |
| 診断・治療計画料 | ¥16,000 |
| (1)第0期治療(5~6歳の早期治療、主に受け口の治療) ※パナシールド・プレオルソ・T4Kなどの取り外し式装置を使用 |
¥40,000 |
| (2)第一期治療(6歳~11歳頃の非抜歯咬合誘導) |
¥400,000 |
| 再診料 | ¥2,000~6,000 |
| 装置改造料 | ¥1,000~10,000 |
| 家族割引 | ¥40,000割引 |

デンタルローンの詳細についてはスタッフにお聞きください。